This website requires JavaScript.
Explore
Help
Sign In
jdahlin
/
medical-notes
Watch
1
Star
0
Fork
0
You've already forked medical-notes
Code
Actions
Activity
Files
2ea3067771d97bb50f17286b5d89b305946dddb0
medical-notes
/
content
/
attachments
/
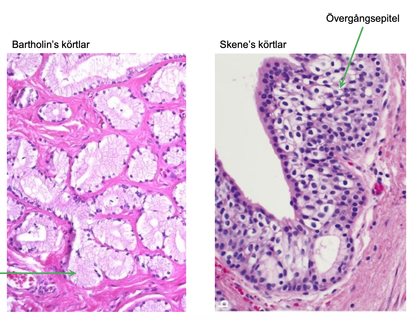
Pasted image 20251009083506.png
Johan Dahlin
c19a7da269
Add raw images
2025-10-14 12:40:46 +02:00
3.0 MiB
1694x1308px
Raw
History
View Git Blame
Copy Permalink